Aktualności
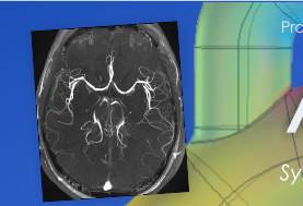
2.12.2015 - Nasz najnowszy artykuł o symulacji obrazowania Time-of-Flight oraz Phase Contrast Angiography jest już dostępny on-line. Zachęcamy do lektury.

30.11.2015 - W zakładce Do pobrania dodaliśmy odnośnik do projektu dla środowiska Xcode z naszą implementacją algorytmu do symulacji rozrostu drzew naczyń krwionośnych. Zachęcamy do pobierania :-).

6.10.2015 - Udostępniamy dwa nowe syntetyczne modele rozgałęzienia tętnicy szyjnej (zobacz).

15.08.2015 - Rozpoczynamy realizację nowego projektu nt. symulacji rezonansu magnetycznego. Tym razem zajmiemy się modelowaniem perfuzji nerek. Wkrótce pojawi się więcej informacji.
 
Polecamy






 
Licznik wizyt
Liczba odsłon strony od 1.03.2015 r.

Flag Counter

Projekt badawczy p.t.

Wspomagany sprzętowo symulator angiografii rezonansu magnetycznego do walidacji metod ilościowej analizy układu naczyń krwionośnych

realizowany przez


Kierownik projektu: dr inż. Artur Klepaczko
Dyscyplina naukowa: Metody komputerowe w nauce
Przyznana dotacja: 470 500,00 PLN
Termin realizacji: 14.04.2011 - 14.12.2013



Cel projektu

Celem projektu było opracowanie systemu komputerowego do syntezy obrazów angiografii rezonansu magnetycznego. Jednym z problemów, którego oryginalne rozwiązanie zaproponowano w projekcie, było utworzenie modelu obrazowanego organu. Oprócz właściwości magnetycznych poszczególnych tkanek...

Czytaj więcej



Dlaczego symulacja?

Tomografia rezonansu magnetycznego (RM) jest obecnie bardzo powszechnie wykorzystywaną techniką w medycznej diagnostyce obrazowej. Co istotne, ta nieinwazyjna metoda pozwala na formowanie obrazów trójwymiarowych dużej rozdzielczości – odwzorowujących drobne szczegóły tkanek na tle...

Czytaj więcej


Copyright 2011-2015 (C) Artur Klepaczko | Institute of Electronics | Lodz University of Technology